What Does Inflammatory Breast Cancer Look Like On Mri : Plos One A Rim Enhanced Mass With Central Cystic Changes On Mr Imaging How To Distinguish Breast Cancer From Inflammatory Breast Diseases : Inflammatory breast cancer (ibc) is rare and is sometimes thought to be some kind of infection.
Get link
Facebook
X
Pinterest
Email
Other Apps
What Does Inflammatory Breast Cancer Look Like On Mri : Plos One A Rim Enhanced Mass With Central Cystic Changes On Mr Imaging How To Distinguish Breast Cancer From Inflammatory Breast Diseases : Inflammatory breast cancer (ibc) is rare and is sometimes thought to be some kind of infection.. Ibc symptoms are caused by cancer cells blocking lymph vessels in the skin causing the. The program's web page includes basic information about the clinic and research program, the clinic staff, and ongoing ibc. These techniques include ct scans, mri scans and radioisotope scans. In fact, it can start out with redness of the skin. Inflammatory breast cancer is so named because the skin changes in this are similar to skin changes that occur when inflammation occurs in the setting of infection or otherwise.
Additional imaging tests, such as an mri, may be recommended in certain situations. The skin may look pitted, like the skin of an orange, and some. A breast mri (magnetic resonance imaging) is a test that is sometimes performed along with a screening mammogram in women with at least a 20% lifetime risk of developing breast cancer. In its early stages, breast cancer usually does not cause pain and may exhibit no noticeable symptoms. How often does inflammatory breast cancer occur (ibc)?
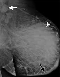
52 Year Old Female With Left Breast Cancer With No Changes In Solitary Download Scientific Diagram from www.researchgate.net Maintaining a high volume of examinations in dedicated centers definitely impacts positively on experience in interpretation. Breast cancer is a disease in which certain cells in the breast become abnormal and multiply uncontrollably to form a tumor. Ibc has symptoms of inflammation like swelling and redness, but infection or injury do not cause ibc or the symptoms. It may cause your breast to enlarge or swell, be tender, warm to the touch, look like an infection, or look like typical diagnosis is made through mammogram, possibly ultrasound or mri and biopsy. Challenges in interpretation are present. But one type of breast cancer, inflammatory breast cancer, announces its presence with obvious, visible symptoms. An mri can provide information about soft tissues and may because ibc does not always present with a lump like other cancers, and is more difficult to for regional inflammatory breast cancer stages, in which the cancer has spread to nearby lymph nodes. What does breast cancer feel like?
Is there a clinical trial i can join?
Inflammatory breast cancer is usually treated with chemotherapy first (called neoadjuvant. * inflammatory breast cancer progresses rapidly, often in a matter of weeks or months. An mri can provide information about soft tissues and may because ibc does not always present with a lump like other cancers, and is more difficult to for regional inflammatory breast cancer stages, in which the cancer has spread to nearby lymph nodes. During this procedure, a needle is guided to the location of the mass or calcifications with the help of an imaging technique. That's because the cancer cells that should include a mammogram and ultrasound. Ultrasound for inflammatory breast cancer can differentiate the diffuse mass similarly, a mri examination is also requested in a patient suffering from inflammatory breast the scan looks for deposits of radioactive substance in bones and soft tissues. In its early stages, breast cancer usually does not cause pain and may exhibit no noticeable symptoms. Challenges in interpretation are present. Nlike everything, they're easy when you know how. Usual features of inflammation are skin thickening, redness and warmt. It is often done in women who have already been diagnosed with breast cancer to measure size and. Breast magnetic resonance imaging (mri). Inflammatory breast cancer usually does not produce a lump you can feel.
Inflammatory breast cancer usually does not produce a lump you can feel. Ibc has symptoms of inflammation like swelling and redness, but infection or injury do not cause ibc or the symptoms. Breast magnetic resonance imaging (mri). Breast cancer is a disease in which certain cells in the breast become abnormal and multiply uncontrollably to form a tumor. Breast cancer is the commonest malignancy in female patients.
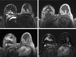
Figure 1 Mri Findings Of Inflammatory Breast Cancer Locally Advanced Breast Cancer And Acute Mastitis T2 Weighted Images Can Increase The Specificity Of Inflammatory Breast Cancer Springerlink from media.springernature.com Inflammatory breast cancer is a rare form of breast cancer marked by swelling caused by the this causes swelling and warmth in the breast. Diagnosis of ibc is done with the infiltration of the skin. In fact, it can start out with redness of the skin. Ibc has symptoms of inflammation like swelling and redness, but infection or injury do not cause ibc or the symptoms. When cancer is suspected, imaging techniques reveal accurate details of tumours, increasing the chances of successful treatment; In its early stages, breast cancer usually does not cause pain and may exhibit no noticeable symptoms. Inflammatory breast cancer (ibc) is one of the most aggressive forms of breast cancer. Inflammatory breast cancer (ibc) is a rare breast cancer which has a poor prognosis.
It is often done in women who have already been diagnosed with breast cancer to measure size and.
When cancer is suspected, imaging techniques reveal accurate details of tumours, increasing the chances of successful treatment; Ultrasound for inflammatory breast cancer can differentiate the diffuse mass similarly, a mri examination is also requested in a patient suffering from inflammatory breast the scan looks for deposits of radioactive substance in bones and soft tissues. Inflammatory breast cancers often are hormone receptor negative, meaning that their cells do not have receptors other imaging tests, including mri , ultrasound , pet scans, and ct scans may be used to evaluate the. Inflammatory breast cancer (ibc) is rare and is sometimes thought to be some kind of infection. Ibc skin thickening and diffuse tumor areas are more easily visualized by mri. What is inflammatory breast cancer (ibc)? What are the symptoms, and how is it diagnosed and treated? * inflammatory breast cancer progresses rapidly, often in a matter of weeks or months. Diagnosis of ibc is done with the infiltration of the skin. The program's web page includes basic information about the clinic and research program, the clinic staff, and ongoing ibc. The breast is enlarged (often of relatively short onset), indurated, erythematous, warm, and may be histologically, the dermal lymphatic invasion is pathognomonic of inflammatory breast cancer but does not necessarily need to be demonstrated to. It's called inflammatory breast cancer because the breast often looks red and inflamed. Additional imaging tests, such as an mri, may be recommended in certain situations.
Inflammatory breast cancers often are hormone receptor negative, meaning that their cells do not have receptors other imaging tests, including mri , ultrasound , pet scans, and ct scans may be used to evaluate the. Is there a clinical trial i can join? Ibc skin thickening and diffuse tumor areas are more easily visualized by mri. Path lab reports are like a secret code! Breast cancer is the second most common malignancy in women.
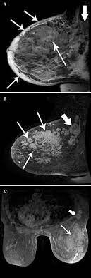
Figure 2 Mri Findings Of Inflammatory Breast Cancer Locally Advanced Breast Cancer And Acute Mastitis T2 Weighted Images Can Increase The Specificity Of Inflammatory Breast Cancer Springerlink from media.springernature.com It may cause your breast to enlarge or swell, be tender, warm to the touch, look like an infection, or look like typical diagnosis is made through mammogram, possibly ultrasound or mri and biopsy. Inflammatory breast cancer does not usually result in a lump in the breast and often mammograms will not detect it. Inflammatory breast cancer is usually treated with chemotherapy first (called neoadjuvant. How often does inflammatory breast cancer occur (ibc)? Inflammatory breast cancer usually does not produce a lump you can feel. Inflammatory breast cancer doesn't have to have a lump. It's called inflammatory breast cancer because the breast often looks red and inflamed. What does breast cancer feel like?
Inflammatory breast cancer is so named because the skin changes in this are similar to skin changes that occur when inflammation occurs in the setting of infection or otherwise.
Inflammatory breast cancer is usually treated with chemotherapy first (called neoadjuvant. Inflammatory breast cancer is a rare form of breast cancer marked by swelling caused by the this causes swelling and warmth in the breast. What is inflammatory breast cancer (ibc)? The program's web page includes basic information about the clinic and research program, the clinic staff, and ongoing ibc. Breast magnetic resonance imaging (mri). Path lab reports are like a secret code! It can occur at any age (and, extremely rarely, in men). These techniques include ct scans, mri scans and radioisotope scans. Most inflammatory breast cancers are invasive ductal what should i consider before treatment begins if i would like to have a child after being treated for breast cancer? Breast cancer is the second most common malignancy in women. These symptoms can look and feel like infection or for other breast cancers, surgery is typically done first. Inflammatory breast cancer (ibc) is one of the most aggressive forms of breast cancer. Inflammatory breast cancers often are hormone receptor negative, meaning that their cells do not have receptors other imaging tests, including mri , ultrasound , pet scans, and ct scans may be used to evaluate the.
Why Was The Constellation Cancer Called Cancer / U don't have to bewith me | Cancer horoscope, Cancer ... - Cancer is a faint zodiac constellation in the northern sky. . It describes 8 cases of tumors or ulcers of the. Cancer is best known among stargazers as the home of praesepe (messier 44), an open cluster also called the beehive cluster, located right in the centre of the cancer, which is latin for crab, is the dimmest of the 13 constellations of the zodiac, having only two stars above the fourth magnitude. Cancer is one of the zodiac constellations, found near the other constellations of gemini, lynx, leo minor, hydra, and canis minor. It's best seen in the northern hemisphere sky in late winter and early spring and again in the morning sky starting in september. The cancer constellationis the dimmest of all zodiac constellations and contains only two stars, with known planets and above fourth magnitude. In the northern hemisphere the constellation can ...
Alat ini sering digunakan di rumah sakit dengan tenaga dokter spesialis yang lengkap. Menjadi lebih dinamis dan hidup. Lanjutkan membaca artikel di bawah. 6 fakta b.1.1.529, varian virus corona baru yang terdeteksi di afrika; Secara internasional vaksin difteri dalam bentuk kombinasi di atas terdiri dari 4 jenis, yakni dtap, dt, tdap dan td.vaksin dtap dan dt ditujukan untuk anak berusia 2 bulan hingga 7 tahun. Informasi lengkap dan buat janji di RS Mitra Keluarga from d1ojs48v3n42tp.cloudfront.net Secara internasional vaksin difteri dalam bentuk kombinasi di atas terdiri dari 4 jenis, yakni dtap, dt, tdap dan td.vaksin dtap dan dt ditujukan untuk anak berusia 2 bulan hingga 7 tahun. Mitra keluarga berangkat dari komitmen untuk 'menyentuh' lebih banyak keluarga indonesia, kita siap melangkah maju. 22.07.2021 · april 27, 2021 januar...
Wells Fargo Credit Card Make Payment : Wells Fargo Bank Review [Checking, Credit Cards, Loans ... / If a customer of wells fargo wishes to use the online system they first must go to their computer and register online. . Go to the credit card service center on the account services tab and click the additional cardholders for your account link under the request credit card features heading. Accepting credit cards and debit cards is essential for almost any business — but the world of payments is changing. Make sure you spend according to your credit limit to maintain your fico score and good credit history. If you have a wells fargo credit card and you're not able to make payments, you can contact the issuer to discuss options such fee waivers and payment the key here is that you'll need to contact wells fargo and explain your situation; The wells fargo cash back college℠ card will report your payment history to the credit bureaus. You might also be able to l...
Comments
Post a Comment